
Diş İmplantları
Ömür boyu garantili premium implantlar ile eksik dişlerinizi değiştirin.
- Ömür Boyu Garanti
- Aynı Gün Tedavi
- Ağrısız İşlem

Kameranızı açın ve hayalinizdeki gülüşü keşfedin
Kameranızı açın, gülümseyin ve Hollywood Smile'ınızı anında görün!
En son teknoloji ve uzman kadromuzla mükemmel sonuçlar elde edin

Ömür boyu garantili premium implantlar ile eksik dişlerinizi değiştirin.

Doğal görünümlü porselen laminalar ile mükemmel gülüşe kavuşun.

Ünlüler gibi kusursuz ve parlak bir gülümsemeye sahip olun.
35 yılı aşkın deneyimimiz ve 15.000'den fazla mutlu hastamızla, size en kaliteli diş tedavisini sunuyoruz. Modern teknolojimiz ve uzman kadromuzla mükemmel sonuçlar garantiliyoruz.
Her hasta için özel tedavi planı
Tüm tedavilerde garanti
12 aya varan taksit imkanı


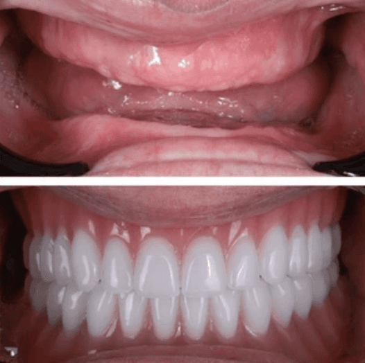
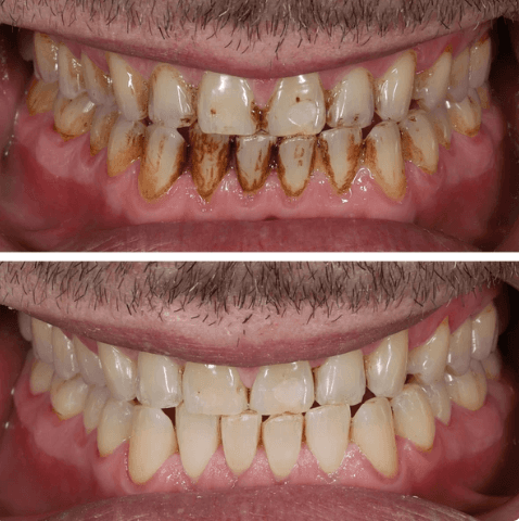
Hayatını değiştiren binlerce mutlu hastamızdan sadece birkaçı
Sürpriz ödemeler yok. İhtiyacınız olan tedaviyi seçin ve tahmini fiyatı görün.
* Diğer işlemler ve detaylı bilgi için lütfen iletişime geçin.
"Hollywood Gülüşü yaptırdım ve sonuçtan çok memnunum. Doktorlar çok ilgili, klinik çok temiz. Herkese tavsiye ederim!"
"İmplant tedavisi için geldim. Fiyat performans çok iyi. Almanya'dan çok daha uygun ve kalite aynı seviyede."
"Diş beyazlatma ve estetik dolgular yaptırdım. Sonuç harika! Artık gülümsemekten korkmuyorum."
Diş röntgeninizi veya ağız içi fotoğraflarınızı bize gönderin. Uzman hekimlerimiz durumunuzu incelesin, size özel tedavi planı ve tahmini fiyat teklifini oluştursun.
24 saat içinde değerlendirme
Planlama için ücret ödemezsiniz
Deneyimli hekimlerimizden tavsiyeler
Röntgeninizi veya dişlerinizin fotoğrafını gönderin, uzman hekimlerimiz size özel tedavi planı ve fiyat çalışması yapsın.






İmplant tedavisi genellikle iki aşamalıdır. İmplantın yerleştirilmesi 15-30 dakika sürer. Kemik ile kaynaşması için 2-3 ay beklenir, ardından protez diş takılır. All-on-4 gibi sistemlerde aynı gün geçici dişler takılabilir.
Yurt dışı hastalarımız için ücretsiz VIP transfer, otel konaklama desteği ve tedavi planlaması sunuyoruz. Gelmeden önce röntgeninizi göndererek online konsültasyon alabilirsiniz.
Evet. Röntgeninizi veya diş fotoğrafınızı yükleyerek ücretsiz ön değerlendirme ve tahmini fiyat teklifi alabilirsiniz. Uzman hekimlerimiz dosyanızı inceleyip size özel planlama sunar.
İyi bir ağız bakımı ile zirkonyum ve laminate kaplamalar 15-20 yıl veya daha uzun süre kullanılabilir. DentNora olarak kaplamalarımıza garanti veriyoruz.
Hayır, modern anestezi yöntemleri ile işlemler tamamen ağrısızdır. Ayrıca diş hekimi korkusu olan hastalarımız için sedasyon seçeneğimiz mevcuttur.
Nakit, kredi kartı ve banka kartı ile ödeme kabul ediyoruz. Ayrıca yurt dışı sigortaları için gerekli fatura ve belgeleri sağlıyoruz.
Formu doldurun, uzman hekimlerimiz röntgeninizi incelesin ve size özel tedavi planını hazırlasın.